What is a Metacarpal Fracture (Hand)?
The metacarpal bones are the long slender bones which connect your wrist to your fingers and are roughly at the level of your palm. There is one metacarpal for each finger. Fractures are “breaks” or “cracks” in the bone, usually due to trauma. In severe injuries, multiple metacarpals can be fractured. The fifth metacarpal (the one that attaches to the small finger) is especially susceptible to fracture when punching objects with a closed fist, hence the nickname "boxer’s fracture."
Ulnar Gutter Cast for a Metacarpal Fracture
Causes
Most causes of metacarpal fracture involve trauma to the hand:
- Punching objects with a closed fist (most commonly Boxer’s Fracture)
- Blunt force trauma (vehicle accident, direct blow to the hand, work injury)
- Crush injuries to the hand (often results in multiple metacarpal fractures)
- Enchondroma (a benign bone cyst that weakens the bone until it fractures)
Signs and symptoms
Symptoms of a metacarpal fracture usually include one or more of the following:
- Hand pain and tenderness to touch (over the back of the hand or palm)
- Hand swelling
- Hand bruising
- Hand pain / grinding when making a fist
- Hand deformity (fingers may not line up normally when making a fist)
Is there a test for metacarpal fractures?
Yes! Often fractures are obvious on physical examination, but severe sprains and contusions can also look and feel very much like a metacarpal fracture. X-rays usually offer definitive diagnosis and help with treatment planning.
Treatment
Suspected hand fractures warrant emergent treatment if you are experiencing hand numbness and tingling, severe or “tight” swelling, significant deformity of the hand or any open wounds around the hand (possible open or compound fracture). Even without these warning signs, it is best to seek urgent treatment as the results of delayed treatment of metacarpal fractures can lead to undesirable outcomes such as nonunion (won’t heal) or malunion (heals crooked).
Nonoperative treatment: Splinting and casting are the mainstays of nonoperative treatment of metacarpal fractures that are stable and not badly displaced (out of alignment). Occasionally the fracture needs to be numbed up and “set” straight. Cast treatment usually lasts 4-6 weeks.
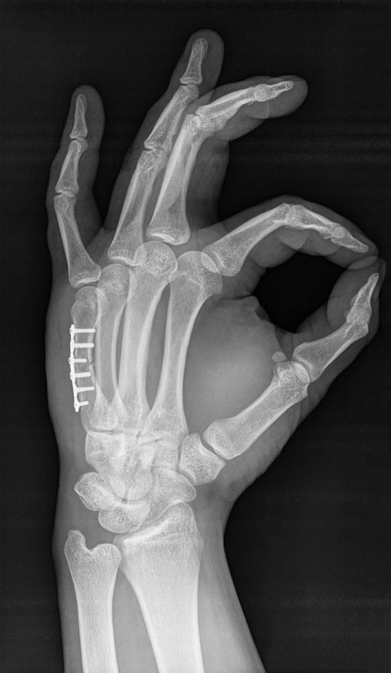
Operative treatment: Surgical repair of metacarpal fractures is required when the fracture pieces are unstable (won’t stay in place), or not healing properly with cast treatment. We perform a regional block to numb the arm, and if the metacarpal can be set straight, we place metal wires through the skin and into the bone to keep it straight while it is healing. If the fracture is severe, we may need to make a small incision over the back of the hand to restore the alignment of the broken metacarpal directly and hold the pieces in place with tiny metal plate and screws. Sometimes, a second surgery is performed after the bone has healed to remove the plate and screws if they are uncomfortable under the skin or cause stiffness.

X-ray showing pinning to repair a Metacarpal Fracture

X-ray showing plating to repair a Metacarpal Fracture
Ready to confirm a diagnosis and fix the problem, or just want to learn more?
Our board-certified orthopedic hand and wrist surgeons, Eric Angermeier, MD and Kyle Kokko, MD, PhD, are here to help! They can often diagnose the problem in one visit, and get you started with a treatment plan. We offer a wide variety of both nonoperative and operative treatment options.
Call today for a clinic or telehealth appointment! 854-429-4263